We are closed Monday Dec 23 through Thursday December 26 for Christmas. For Emergencies, please call 509-737-0327
FOLLOW US
A stable, healthy smile depends on more than appearance. It requires proper bite balance, structural support, and long-term function. At Creekside Dental, prosthodontic care is led by Dr. Ankur Tyagi, DMD, a prosthodontist with advanced training in complex tooth replacement and restorative planning.
Prosthodontics is the dental specialty focused on restoring missing or damaged teeth so they function naturally and comfortably. From single tooth replacement to full-arch implant solutions, the goal of every treatment plan is always to truly transform your smile and your life.
A prosthodontist completes additional years of specialty education beyond dental school, with advanced training in restoring oral function and rebuilding smiles.
Prosthodontic training focuses on:
This level of expertise is especially important for dental implants, All-on-X treatment, and implant-supported dentures.
Patients choose Dr. Tyagi for his specialty training and restorative-first approach to care.
Every treatment plan is designed around how your jaw works together, not just how your smile looks.
The real transformation? Renewed confidence to smile in photos and conversations, dramatically improved quality of life through better nutrition and enjoyment of meals, easier social engagement without hiding your smile, stronger relationships built on openness, and complete relief from the pain or shame of missing teeth. It’s not just new teeth. It’s a life reclaimed.
Root-level tooth replacement supporting crowns, bridges, or full-arch restorations.
Restoration for damaged or weakened teeth to restore strength and bite function.
Replacement for missing teeth using adjacent teeth or implants for support.
Custom full and partial dentures designed for comfort and natural esthetics.
Fixed, non-removable full-arch tooth replacement supported by strategically placed implants.
Removable prosthetics secured to implants for improved stability and comfort.
Treatment for bite imbalance and excessive tooth wear.
Many patients come to us tired of unstable dentures, pain when chewing, embarrassment when smiling, or social withdrawal. All-on-X changes that forever:
This treatment is designed for patients who have lost most or all of their teeth and want a permanent, non-removable solution. Instead of replacing teeth one by one, a full arch of teeth is supported by strategically placed implants.
Dr. Ankur Tyagi, DMD, also provides implant solutions for smaller or more localized tooth replacement needs.
These options deliver rock-solid stability, protect jawbone health, and restore natural function without removable appliances, so you can smile, eat, and live with total confidence again.
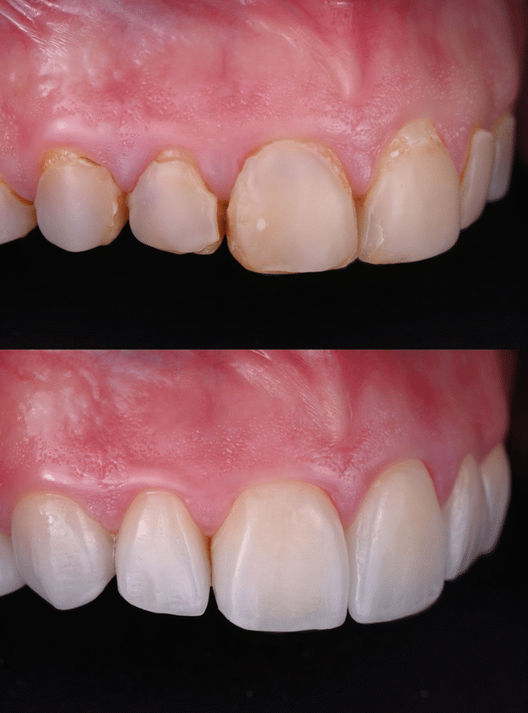
Veneers are an important part of prosthodontic care for patients who want to enhance their smile while preserving natural tooth structure. Under the care of Dr. Ankur Tyagi, DMD, veneers are designed with balance, function, and harmony in mind.
Veneers may be recommended to improve:
Veneers are often combined with implant or restorative care to create a cohesive, intentional result. Patients frequently share that a harmonious, confident smile opens doors: more comfort in social settings, greater ease in photos and everyday interactions, and a boost in self-esteem that positively influences relationships and opportunities.
Prosthodontic care is an investment in your health, confidence, and quality of life. Treatment recommendations and investment vary based on individual needs, complexity, and long-term goals.
During your consultation, our team will clearly explain your recommended treatment, expected outcomes, and available options.
Creekside Dental offers flexible financing options to help make implant and prosthodontic treatment accessible. Our team will review available payment solutions and help you find the one that best fits your needs – because investing in your smile and health is investing in a fuller, more confident life.



If you are considering prosthodontic treatment, All-on-X treatment, implant-supported overdentures, veneers, or restorative care, schedule a consultation with Dr. Ankur Tyagi, DMD, at Creekside Dental.
Call 509-737-0327 or complete the appointment request form below.
Our team will contact you within one business day.
If you need urgent care or need to modify an appointment, please contact the office directly.